Μεταστατικό διαφανές νεφροκυτταρικό καρκίνωμα που μιμείταιαναπλαστικός καρκίνος του θυρεοειδούς: ACase Report
Mar 06, 2022
Αφηρημένος
ΜεταστατικόΝεφρικήτο καρκίνωμα των κυττάρων στον θυρεοειδή είναι μια σπάνια αλλά επιθετική ιστοπαθολογική διάγνωση, η οποία μπορεί συχνά να παραλειφθεί από την αρχική κλινική διαφορά. Αυτό οφείλεται εν μέρει στη μακρά περίοδο λανθάνουσας κατάστασης μεταξύ της αρχικήςΝεφρικήπρωτογενής και εμφάνιση μεταστατικής νόσου, σε συνδυασμό με βιοψίες αναρρόφησης βελόνας. Παρουσιάζουμε εδώ μια ενδιαφέρουσα περίπτωση ενός μεταστατικού διαυγούς κυττάρουΝεφρική-κυτταρικό καρκίνωμα που μιμείται ένα επιθετικό πρωτοπαθές νεόπλασμα του θυρεοειδούς, 10 χρόνια μετά τη νεφρεκτομή για έναΝεφρικήπρωτογενή, επισημαίνοντας βασικά ζητήματα διάγνωσης και διαχείρισης.
Λέξεις κλειδιά:καρκίνος του θυρεοειδούς, μεταστατικό νεφροκυτταρικό καρκίνωμα, ανοσοθεραπεία, Νεφρική

ΤΟ CISTANCHE ΘΑ ΒΕΛΤΙΏΣΕΙ ΤΗ ΝΕΦΡΙΚΉ/ΝΕΦΡΙΚΉ ΛΕΙΤΟΥΡΓΊΑ
Μια 70χρονη γυναίκα Cree, γνωστή για το μεταβολικό σύνδρομο, την πολυνοϊκή βρογχοκήλη και την αριστερή διαυγή κυττάρωνΝεφρική-κυτταρική κατάσταση καρκινώματος (ccRCC) μετά τη νεφρεκτομή και την επινεφριδεκτομή το 2011, παρατηρήθηκε για πρώτη φορά στο νοσοκομείο της κοινότητας για αναπνευστική δυσχέρεια και αλλοιωμένη ψυχική κατάσταση (Glasgow Coma Scale 3). Διασωληνώθηκε στο τμήμα επειγόντων περιστατικών και μεταφέρθηκε στο κέντρο τεταρτοταγούς φροντίδας με λειτουργική διάγνωση υποτιθέμενου καρδιακού επεισοδίου. Ο επείγων καρδιακός καθετηριασμός αποκάλυψε φυσιολογικούς στεφανιαίους τόνους, με αποτέλεσμα να μην απαιτείται παρέμβαση. Μια αξονική τομογραφία (CT) αγγειογραφία του θώρακα έδειξε πολυεστιακές αποσπασματικές περιοχές σταθεροποίησης και αδιαφάνεια εσμυρισμένου γυαλιού που συνάδουν με την πολυεστιακή πνευμονία, καθώς και μια μεγάλη μάζα 5,7 × 4,1 cm στον δεξιό λοβό του θυρεοειδούς, προκαλώντας δυνητικά βλάβη των αεραγωγών στο επίπεδο της θωρακικής εισόδου. Η κύρια ομάδα της ξεκίνησε τη θεραπεία για pneumosepsis και συμβουλεύτηκε την υπηρεσία μας για συνεχείς έρευνες και διαχείριση της μάζας του θυρεοειδούς.
Κατά την εξέταση, ο ασθενής είχε μια σταθερή δεξιά πλευρά της μάζας του θυρεοειδούς προκαλώντας αριστερή απόκλιση της τραχείας. Στο υπερηχογράφημα, εμφανίστηκε υπερηχοϊκό /ισοηχοϊκό καινθιστικό, φαινομενικά συγχωνευμένο με το ετερογενές περιβάλλον παρέγχυμα. Η ομάδα μας προσπάθησε να επιτύχει μια διάγνωση ιστών. Ωστόσο, οι προσπάθειες βιοψίας αναρρόφησης με λεπτή βελόνα καθοδηγούμενη με υπερήχους (FNAB) απέδωσαν τις Bethesda I (×3) και Bethesda III (×2). Ενώ συζητήσαμε μια βιοψία πυρήνα-βελόνας με τους επεμβατικούς ακτινολόγους μας, επέλεξαν να επαναλάβουν ένα FNAB καθώς ο θυρεοειδής εμφανίστηκε σημαντικά αγγειακός. Κατά τη διάρκεια διεπιστημονικών συναντήσεων, αποφασίσαμε να πραγματοποιήσουμε βιοψία σφήνας της θυρεοειδούς μάζας για διαγνωστικούς σκοπούς, ακολουθούμενη από ανοικτή τραχειοτομή λόγω της σημαντικής τραχειομαλκίας της και χωρίς προβλέψιμο χρονοδιάγραμμα για τη διασωλήνωση. Πριν από τη χειρουργική επέμβαση ζητήθηκε η παρακολούθηση του αξονικού λαιμού και του θώρακα, η οποία κατέδειξε ότι η μάζα τώρα εκτείνεται στην οπίσθια επιφάνεια της άνω τραχείας, κατά μήκος της μέσης γραμμής, και περιβάλλει την τραχεία κατά περίπου 270° (Εικόνα 1). Υπήρξε μια εισβολή στον τραχειακό αυλό με τη μάζα να περιβάλλει τον ενδοτραχειακό σωλήνα και ανησυχία για χόνδρινη εισβολή στο επίπεδο του δεξιού κρικοειδούς χόνδρου. Επιπλέον, υπήρχαν πολλά αμφοτερόπλευρα μικρά πνευμονικά οζίδια, τα οποία προηγουμένως καλύπτονταν από εστίες ενοποιήσεων και αφορούσαν τις μεταστάσεις. Μια τομογραφία εκπομπής ποζιτρονίων (PET) έδειξε ότι η μάζα του θυρεοειδούς ήταν σημαντικά υπερμεταβολική (SUV = 5,1), ενώ τα οζίδια των πνευμόνων είχαν μόνο χαμηλού βαθμού μη ειδική πρόσληψη (SUV = 3,8). Η κύρια διαφορική διάγνωση ήταν ο αναπλαστικός καρκίνος του θυρεοειδούς (ATC) δεδομένης της ταχείας εξέλιξης, της επεμβατικότητας και της επιθετικής συμπεριφοράς αυτής της μάζας.

ΤΟ CISTANCHE ΘΑ ΒΕΛΤΙΏΣΕΙ ΤΗ ΝΕΦΡΙΚΉ/ΝΕΦΡΙΚΉ ΛΟΊΜΩΞΗ
Διεγχειρητικά, ο ασθενής άρχισε να αιμορραγεί υπερβολικά από το σημείο εκτομής σφήνας. Η αιμόσταση επιτεύχθηκε τελικά χρησιμοποιώντας ένα συνδυασμό καυτηριασμού, απολίνωσης ράμματος των αποκομμένων άκρων του θυρεοειδούς και διαφόρων αιμοστατικών παραγόντων, συμπεριλαμβανομένης μιας αιμοστατικής μήτρας ζελατίνης και θρομβίνης. Η συνολική απώλεια αίματος ήταν περίπου 2 L, απαιτώντας αντικατάσταση με αρκετές μεταγγίσεις αίματος. Η τραχειοστομία αναβλήθηκε και μεταφέρθηκε πίσω στη μονάδα εντατικής θεραπείας σε σταθερή κατάσταση. Την επόμενη εβδομάδα πραγματοποιήθηκε διαδερμική τραχειοστομία στο κομοδίνο χωρίς επιπλοκές.
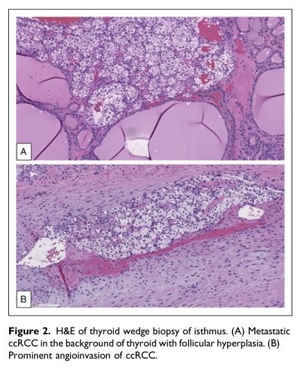
Η χειρουργική παθολογία του μυθιστορήματοςαντιμετώπισε ότι ένας λευκός όζος και μεταστατικός ccRCC εντοπίστηκε εντός του θυρεοειδούς αδένα και των περιθυρεοειδών ιστών (Εικόνα 2). Η μεγαλύτερη εστίαση μετρήθηκε 1,6 cm, με αγγειοανάσταση. Η ανοσοϊστοχημεία έδειξε θετική για RCC, CA-IX και Pax8, εστιακή θετικότητα στοEMA και αρνητική για την θυρεοσφαιρίνη, τη χαρτοπετσέτα, την CK7 και τηνCK20. Ως εκ τούτου, το ανοσοϊστοχημικό προφίλ υποστηρίζει τη διάγνωση του διηθητικού ccRCC και όχι της πρωτοπαθούς θυρεοειδικής νεοπλασίας. Δεδομένης της εξαιρετικά αγγειακής φύσης αυτού του όγκου του θυρεοειδούς και του υψηλού κινδύνου αιμορραγίας, κρίθηκε χειρουργικά ανεγχείρητος. Η ιατρική ογκολογική μας ομάδα ξεκίνησε θεραπεία με έναν αναστολέα της τυροσινικής κινάσης, το axitinib, ακολουθούμενη από μια δοκιμή ενός εξαιρετικά επιλεκτικού εξανθρωπισμένου μονοκλωνικού αντισώματος IgG4 που ονομάζεται pembrolizumab.

Συζήτηση
Ο θυρεοειδής αδένας είναι μια σπάνια περιοχή για την ανάπτυξη μεταστατικής νόσου. 1 Μελέτη αυτοψιών σε περισσότερους από χίλιους ασθενείς που πέθαναν με όλους τους τύπους διάχυτων καρκίνων που προσπαθούσαν να εντοπίσουν δευτερεύουσες θέσεις μεμονωμένων μεταστάσεων της νόσου στον θυρεοειδή σε λιγότερο από το 5% των ασθενών. 2 Σε μια 10ετή ανασκόπηση, οι μεταστατικοί συμπαγείς όγκοι στον θυρεοειδή αδένα αποτελούσαν το 0,13% των οζιδίων του θυρεοειδούς που είχαν υποστεί εκτομή. 3 Οι καρκίνοι του μαστού και του πνεύμονα ήταν ιστορικά η πιο κοινή κακοήθεια που έκανε μετάσταση στον θυρεοειδή αδένα. 4-6 Ωστόσο, σε μια πρόσφατη ανασκόπηση, το ccRCC έχει ξεπεράσει το τελευταίο, αντιπροσωπεύοντας το 48,1% της μεταστατικής νόσου στον θυρεοειδή.

Μια πρόκληση στη διάγνωση του μεταστατικού RCC πηγάζει από τη μακρά περίοδο λανθάνουσας κατάστασης μετά την αρχική διάγνωση της πρωτοπαθούς κακοήθειας και την εμφάνιση της μεταστατικής νόσου. Οι θυρεοειδικές μεταστάσεις του ασθενούς μας διαγνώστηκαν 10 χρόνια μετά την πρωτοπαθήΝεφρική-διάγνωση καρκίνου των κυττάρων. Μια πρόσφατη συστηματική ανασκόπηση έδειξε ομοίως ότι ο χρόνος ανίχνευσης των θυρεοειδικών μεταστάσεων του RCC κυμαίνεται από αρκετές εβδομάδες έως 31 χρόνια. 1,7 Η καθυστερημένη παρουσίαση και τα μη ειδικά σημεία και συμπτώματα οδηγούν έτσι συχνά τους γιατρούς να εξετάσουν πρώτα την πρωτοπαθή νόσο του θυρεοειδούς. Για την εργασία όλων των όζων του θυρεοειδούς, οι κατευθυντήριες γραμμές προτείνουν FNABγια τηνfirstattemptfordiagnosis. 8 Ωστόσο, η FNABγια επιθετικούς καρκίνους του θυρεοειδούς υπήρξε δύσκολη και υπόκειται σε μεταβλητότητα στην επιτυχή διάγνωση. 9 Ενώ Η Αδιαφοροποίητη καρκίνος του θυρεοειδούς, η αιμορραγία του όγκου, η νέκρωση ή η υπερβολική ίνωση μπορεί να προκαλέσουν ανεπαρκή δειγματοληψία. 10,11 Μελέτη Ina2017 από την Κορέα που διερεύνησε το FNAB του θυρεοειδούς έναντι της βιοψίας πυρήνα-βελόνας για τη διάγνωση του μεταστατικού RCC, το FNAB δεν είχε μεγάλη επιτυχία. Μόνο ένα από τα εννέα FNABs σε 8 οζίδια (11%) ήταν σε θέση να επιβεβαιώσει το μεταστατικό RCC, ενώ όλες οι βιοψίες πυρήνα-βελόνας επιβεβαίωσαν μεταστατικό RCC. 12 Σε μια συστηματική ανασκόπηση στην οποία 65 ασθενείς υποβλήθηκαν σε FNAB θυρεοειδούς, η κυτταρολογία με FNAB ήταν διαγνωστική σε 25 περιπτώσεις, αλλά δεν ήταν διαγνωστική ή μη επιβεβαιωτική σε 40 περιπτώσεις. 1
Η αρχική μας φοβισμένη διάγνωση ήταν ο αδιαφοροποίητος καρκίνος του θυρεοειδούς, ή ATC, λόγω της ταχείας εξέλιξης και της επεμβατικής φύσης της μάζας. Δεδομένης της κλινικής εικόνας και της ραδιολογικής ανησυχίας για τον τραχειακό αυλό και την χόνδρινη εισβολή, επιμείναμε στη διάγνωση των ιστών και αναζητήσαμε επείγοντα χρόνο λειτουργίας. Ενώ δεν είχε ATC, η πρόγνωσή της εξακολουθεί να φυλάσσεται. Στρωματοποιήθηκε ως «φτωχή» στο Διεθνές ΜεταστατικόΝεφρικήΒαθμολογία κινδύνου κοινοπραξίας βάσης δεδομένων καρκινώματος κυττάρων, η οποία ισοδυναμεί με διάμεση επιβίωση 7,8 μηνών. 1

ΤΟ CISTANCHE ΘΑ ΒΕΛΤΙΏΣΕΙ ΤΟΝ ΠΌΝΟ ΣΤΑ ΝΕΦΡΆ / ΝΕΦΡΌ
Υπάρχουν διαφορετικές θεραπείεςμορφοστατικόccRCC.Η χειρουργική επέμβαση δεν είναι θεραπευτική αλλά μπορεί να παρατείνει την επιβίωση σε ασθενείς με μεταστατική νόσο στον θυρεοειδή. Εκτιμάται ότι υπάρχει ένα ποσοστό επιβίωσης 5 ετών περίπου 50% με χειρουργική εκτομή. 14 Εντούτοις, δεδομένου ότι είχε μεταδώσει μεταστάσεις και νόσο που δεν μπορεί να αναιρεθεί, το πρότυπο πρώτης γραμμής της περίθαλψης είναι η θεραπεία με pembrolizumab και axitinib. 15 Πράγματι, η πρόσφατη δοκιμή φάσης 3, που δημοσιεύθηκε στο New England Journal of Medicine and the Lancet, κατέδειξε ότι η θεραπεία με pembrolizumab σε συνδυασμό με axitinib είχε ως αποτέλεσμα σημαντικά μεγαλύτερη συνολική επιβίωση, επιβίωση χωρίς εξέλιξη της νόσου και υψηλότερο αντικειμενικό ποσοστό ανταπόκρισης από τη θεραπεία με sunitinib, μια άλλη κινάση τυροσίνης υποδοχέα εγκεκριμένη για χρήση για μεταστατικό RCC. Με το pembrolizumab συν axitinib, το εκτιμώμενο συνολικό ποσοστό επιβίωσης στους 24 μήνες μπορεί να είναι έως και 74,4%(95%CI:69.9-78.2) 16,17
Συμπέρασμα
Παρουσιάζουμε τη σπάνια περίπτωση μεταστατικού ccRCC στον θυρεοειδή που μιμήθηκε κλινικά το ATC και αντιμετωπίστηκε με συνδυασμό pembrolizumab και axitinib. Αυτή η ασυνήθιστη περίπτωση μιας επιθετικής, ταχέως εξελισσόμενης μάζας θυρεοειδούς που διαγιγνώσκεται ως μετάσταση RCC στην τελική παθολογία χρησιμεύει ως παγίδα και υπενθύμιση ότι αυτή η οντότητα έχει τεκμηριωθεί ότι επαναλαμβάνεται ακόμη και μετά από 31 χρόνια λανθάνουσας κατάστασης και μιμείται πρωτογενείς κακοήθειες του θυρεοειδούς. 1 Αυτή η περίπτωση επιπλέον επεσήμανε τον διαγνωστικό περιορισμό της FNAB για μεταστατική νόσο στον θυρεοειδή, για την οποία συχνά απαιτείται βιοψία ιστού.

